Barion Pixel
Két ember közt
a legrövidebb út
egy mosoly.
Vavyan Fable

Mosolyszakértők

Mosolyszépítések

Kedvezményeink

Ajándékozzon mosolyt

Időpontfoglalás

vonal

Miért lehet a XI. ker egyik legjobb fogszabáylozó csapata az Újbuda Dentalban?

vonal
1.

Megbízhatók vagyunk

Kizárólag olyan minőségi fogszabályozási alapanyagokkal vagyunk hajlandóak fogorvosi mosolyszépítést végezni, melyeket családtagjainkon is nyugodt lelkiismerettel alkalmaznánk. 

2.

Profik vagyunk

Nem csak azért szeretnek pácienseink, mert precíz és megbízható fogszabályozást kapnak, hanem azért is mert a kezeléseket érthetően tudjuk elmagyarázni és tekintettel vagyuak az egyéni elképzelésekre és lehetőségekre.

3.

Árézékenyek vagyunk

Rugalmasak vagyunk és pácienseink anyagi lehetőségeihez a leginkább megfelelő fogszabályozást, továrra is minőségi és garanciális eljárásokkal biztosítjuk. Ezzel tökéletesítve a mosolyukat.

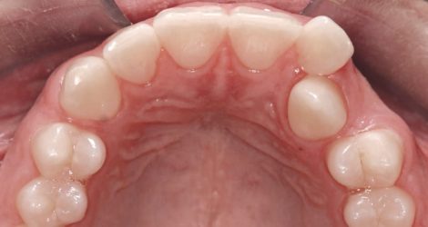
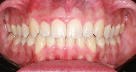
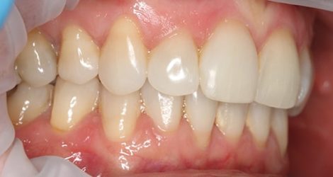
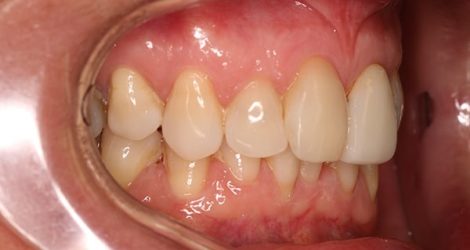
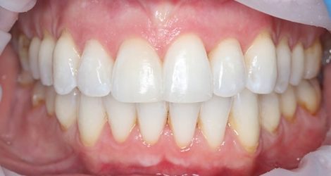
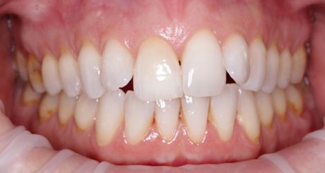
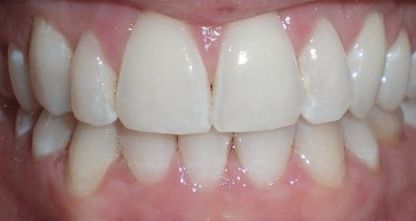
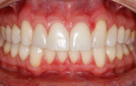
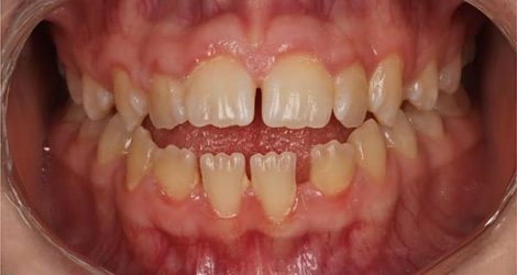
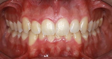
Fogszabályozás nemcsak a szép mosoly, hanem az egészség záloga is

A legmodernebb fogszabályozási technológia várja Újbudán!

Dr. Csamangó Edina

A fogszabályozás életünk minden korszakában javítani tud mosolyunk szépségén és fogaink egészségén. Ma már nem kell azon aggódnunk, hogy ha gyermekkorunkban nem volt lehetőségünk szabályossá tenni fogainkat, akkor erről a lehetőségről már egy életre le kell mondanunk. Minden életszakasznak megvan a maga sajátos fogszabályozó eljárása, amellyel a kezelések hatásosak és tartósak lesznek, valamint látványos eredményt hoznak.

Ismerje meg a lehetőségeket, amiket kínálhatunk Önnek!

Dr. Csamangó Edina
fogszabályzó fogszakorvos

Fogszabályozás gyermekeknek, fiataloknak, felnőtteknek

Milyen előnyei vannak a fogszabályozásnak?

Amikor a fogszabályozásra gondolunk, elsősorban esztétikai problémák jutnak az eszünkbe, pedig a fogszabályozás ennél sokkal összetettebb problémák sikeres kezelésről szól. A fogszabályozásnak köszönhetően nemcsak szép szabályos, esztétikus mosoly lesz a végeredménye, hanem egészséges rágószervei is, melyekkel elkerülheti a későbbi súlyosabb következményekkel járó fogászati problémák kialakulását. Ismerje meg, hogy a fogszabályozás hogyan járul hozzá hosszú távon fogainak egészségéhez és hogyan akadályozza meg az állkapocs ízületi problémák kialakulását.

Napjaink modern fogszabályozási eljárásainak számos előnye van:

Gyermekek fogszabályozása

Gyermekkorban a fogváltás az ideális időszak a fogszabályozás megkezdésére. Ebben az életciklusban lehet elérni a legjobb eredményeket a legrövidebb idő alatt és a legkisebb ráfordítással. A fogváltás időszakában érdemes tehát gyermekünket egy beszélgetésre elvinni egy türelmes fogszabályozó szakorvoshoz, és ha arra szükség van, akkor elkezdeni egy fogszabályozó kezelést.

Szabályos fogak viszonylag rövid idő alatt, akár a felnőtté válás előtt szavatolhatók, ami sok szempontból előnyösebb életfeltételeket biztosíthatnak nemcsak egy hosszú életpálya, hanem egészségügyi és így anyagi értelemben is a gyermek számára. Éppen emiatt is dicséretes, ha a szülők – sokszor a gyermekek ellenállása mellett is – türelemmel és gondoskodással a hosszabb távra szóló prevenció mellett döntenek a gyermekeik fogait illetően.

Fogszabályozás fiatal korban

A szabálytalan fogsor fiatal korban szintén veszélyezteti fogainak egészségét. Az egymásra torlódott fogak tisztítása nehezen oldható meg, így azok hamar szuvasodásnak indulnak. A fogkő lerakódása is gyorsabb, ami a fogágybetegség alapjául szolgál. Ezen kívül a fogakat rendszeresen érő rágóerő sem ideális irányból hat a fogakra, aminek következtében a fogakat tartó szövetek fokozottabb terhelésnek vannak kitéve.

Noha gyermekkorban a legelőnyösebb a szabályozást elkezdeni, számtalan oka lehet annak, hogy később jön el erre a megfelelő pillanat, vagy később születik meg a döntés. Bárhogy is legyen, a tinédzserkorban történő fogszabályozás sem késő, sőt akár rövidebb idő alatt is hatalmas változások érhetők el. E korral jár, hogy a fiatalok nem mindig képesek a rövid távú esztétikai “előnytelenségeket” a hosszabb távú előnyökkel összehasonlítani, így könnyen elodázzák a döntést. Ilyenkor a szülők is segíthetnek, ám a döntést némiképpen megkönnyítheti, hogy napjainkban több olyan megoldás is létezik már a fogszabályozásban, amely a “cikinek”, “kellemetlennek” tűnő elemeket alig láthatóvá, vagy épp láthatatlanná teszik.

Fogszabályozás felnőtt korban

A korszerű fogszabályozó eljárásoknak köszönhetően, melyeket kifejezetten a felnőtt csontozatra dolgoztak ki, ma már látványos és tartós megoldásokat lehet elérni fogszabályozás segítségével. A felnőttkori fogszabályozás rögzített fogszabályozó készülékkel történik. A kezelés időtartama általában 1-2 év, tehát mindenképpen sok türelemre és kitartásra van szükség az ideális eredmény eléréséhez. A felnőtt korban végzett fogszabályozásnak megfontolandó esztétikai és megelőző hatású egészségügyi előnyei vannak, amelyek ma már az Ön számára is könnyen elérhetőek.

A fogsázati technológia változásával a fogszabályozási lehetőségek is sokat változtak, mára több olyan eljárás is rendelkezésre áll, amelyek alig láthatóvá, vagy teljesen láthatatlanná teszik a fogszabályozókat, így gyakorlatilag eltűnt egy igen nyomós indok, az esztésikai indok, ami sokak számára gátat képezett a beavatkozás vállalásában.

Soha sem késő, felnőttként a fogszabályozás az örök életre szóló előnyök melletti pálcatörés, hiszen a pár év alatt tartó folyamat, hosszú évtizedekig számtalan fogbetegség megelőzésében segít, ami nemcsak egészségügyi kérdés, hanem anyagi kérédés is.

Mennyibe kerül a fogszabályozás?

Fogszabályozás ára az Újbuda Dental rendelőben

A fogak szabályozása minden páciens esetében sok egyénre szabott kezelési lépésből áll, amelyek az árak esetében is kezelésenként éltérő összegeket eredményezhet. A rendelőnk díjmentes konzultációja során azonban minden részletre kitérően informáljuk Önt, nemcsak a kezelés menetére vonatkozóan, hanem a költségekkel kapcsolatban is. 

A kezelések során pl. a felhasznált készülékek, illetve bizonyos rutin beavatkozások esetében pontos árak állnak rendelkezésre, amelyek előzetesen segíthetnek Önnek a költségek kalkulációjában. 

Fogszabályozás és a kapcsolódó kezelésekÁr
Fogszabályozó konzultáció és tervezési díj (15 perc)10 000 Ft
Írásos kezelési terv készítése, lenyomattal, fotókkal, röntgen kiértékeléssel31 000 Ft
Rögzített fogszabályozó készülék – fém bracket állcsontonként195 000 Ft
Rögzített fogszabályozó készülék – fém bracket kíméletes önligírozó249 000 Ft
Rögzített fogszabályzó készülék – kerámia vagy zafír bracket (állcsontonként)269 000 Ft
Rögzített fogszabályozó készülék – esztétikus önligírozó bracket (állcsontonként)295 000 Ft
Damon rögzített készülék – fém350 000 Ft
Damon rögzített készülék – esztétikus400 000 Ft
AngelAligner® láthatatlan fogszabályzó rendszer (Mini 10 lépcső)540 000 Ft
AngelAligner® láthatatlan fogszabályzó rendszer (One 20 lépcső)820 000 Ft
AngelAligner® láthatatlan fogszabályzó rendszer (Two 30 lépcső)1 060 000 Ft
AngelAligner® láthatatlan fogszabályzó rendszer (Korlátlan)1 250 000 Ft

Melyek a fogszabályozás lépései?

6 lépésben szabályozzuk meg fogsorát az Újbuda Dentalnál

1.

Konzultáció

Konzultáció során egy speciális teleröntgenfelvétel készül Önről, ami precíz képet ad fogai állapotáról és a szükséges korrekció mértékéről.

Fotók készülnek önről minden profilból, ami segítségünkre lesz az ideális archarmónia kialakításában és a mosolyterv elkészítésére.

A fotózást követően pedig egy tanulmányi lenyomat is készül a fogairól, amely a fogszabályozó készülék megtervezéséhez szükséges.

2.

Tervezés

A fogszabályozási folyamat második lépése az új és megszépült mosolyának megtervezése egy speciális vizualizációs szoftver segítségével. Ezzel a korszerű digitális eszközzel jelentősen csökkenthetjük az Ön kockázatát, hiszen még a fogszabályozási folyamat megkezdése előtt már látni fogja annak végeredményt. Az Önről készült fotó és a több ezer fogtípust tartalmazó adatbázis segítségével közösen találjuk majd meg az Ön számára ideális és természetes fogszabályozó megoldást.

3.

Kezelési terv

A fogszabályozási folyamat harmadik lépéseként rendelőnk fogszabályozó szakorvosa az elkészült röntgenfelvétel, fotók, mosolytervezés, fizikai vizsgálat a lenyomatok eredményei alapján megtervezi az Ön számára ideális fogszabályozási módszert.

A kezelési folyamatot egy kezelési tervbe és árajánlatba foglalja, amely részletekbe menően ismeretei Önnel a javasolt kezelési módszert és fogszabályozó készüléket.

4.

Tisztítás

Ha Ön teljes mértékben egyet ért kezelőorvosa javaslatával, akkor a folyamat negyedik lépéseként egy előre egyeztetett időpontban felkerül az Ön személyre szabott fogszabályozó készüléke. A felrakást egy dentalhigiéniai kezelés előzi meg, hogy a fogszabályozó készülék egy tiszta és baktériummentes környezetbe kerüljön.

5.

Felhelyezés

A felhelyezett fogszabályozó készülék fokozatosan fejti ki hatását, amelyt kezelőorvosának folyamatosan figyelemmel kell kísérnie, hogy a szabályozás rendben zajlik-e. Ez álltalanban havi gyakorisággal töretink meg. Ekkor nem csak az ellenőrzést végzi el a kezelőorvosa, hanem készülék finomhangolását is a megfelelő hatás elérése érdekében.

6.

Mosoly

Ha a fogszabályozás rendben lezajlott, akkor a folyamat utolsó lépéseként kezelőorvosa eltávolítja a fogszabályozó készüléket és ellenőrzi fogainak épségét. Ez a folyamat teljesen fájdalommentes. Ezt egy dentalhigiéniai kezelés követi, hogy fogai visszanyerjék termesztés ragyogásukat. Az elért eredményeket retinerrel és éjszaka viselendő műanyag sínekkel stabilizáljuk.

Önnek már csak élveznie kell az elismerő pillantásokat, melyet új és szabályos mosolyával vívott ki barátai, ismerősei és rokonai körében.

Láthatatlan fogszabályozás Újbudán

Észrevehetetlenül is van mód a fogak szabályozására

Milyen technológiát alkalmazunk az Újbuda Dentálban a fogszabályozás során?

Röviden: ami a legtöbbet kihozza a mosolyából!

Az Újbuda Dental már régóta a svájci minőség garanciáit adó Straumann foogtechnikai eljárásokat alkalmazza, legyen szó fogászati implantációról, vagy fogszabályozásról.

Rendelőnk az AngelAligner® fogszabályozókat használja, amelyek személyre szabottan, kifejezetten pácienseink igényeire készíthetünk. Az AngelAligner jelenleg a legmodernebb orvosok által fejlesztett fogszabályozó technológia, amelynek három ismérve, hogy diszkrét, gyors és kényelmes.

AngelAligner láthatatlan fogszabályozó készülék

Kivehető fogszabályozók

Az AngelAligner fogszabályozók kivehetők, így pácienseink megszokott módon ehetnek, ihatnak és ápolhatják fogaikat. A mindennapi tevékenységek során tetszés szerint viselhetik vagy kivehetik őket, irritáció vagy sérülés kockázata nélkül.

AngelAligner láthatatlan fogszabályozó készülék

Disztkrét fogszabályozás

Az AngelAligner fogszabályozók észrevehetetlenek, így pácienseink nem kell attól tartaniuk, hogy fogszabályozó – még ha csak átmenetileg is, de – ront, illetve esztétikai problémákat okoz a megjelenésében, mosolyában.

ClearCorrect fogszabályozás

Kényelmes fogszabályozás

Az AngelAligner a fejlett személyre szabott technológiát jelent, ami a legkülönbözőbb fogászati eseteket is megfelelően kezelni képes. A készülékek igen kényelmes illeszkedést biztosítanak, így nemcsak mások nem veszik észre a fogszabályozót, hanem sokszor a páciensek is megfeledkeznek róluk, amit a “kényelem garanciájának” is tekinthetünk.

Milyen fogászati problémákban segíthet az AngelAligner® technológia alkalmazása a fogszabályozásban?

Az AngelAligner® segítségével a mosolyok széles skálája korrigálható.

Torlódó fogak, kezelés előtt Torlódó fogak, kezelés után

Forrás: AngelAligner

Torlódás

Ha a fogai túl közel vannak egymáshoz, és abnormális pozíciókban helyezkednek el, például fedik egymást, elfordulnak különböző irányokba vagy meg vannak csavarodva. Ez a leggyakoribb fogászati problémák egyike, és egyben a legfeltűnőbb deformációk közé is tartozik. Nagyban hozzájárul a fogak egészségének romlásához. A torlódott fogakat nehezebb tisztán tartani, és negatívan hathatnak a harapásra és rágásra, ami sokkal komolyabb szájegészségi problémákhoz vezethet.

Foghézag, kezelés előtt Foghézag, kezelés után

Forrás: AngelAligner

Foghézag

Amikor rések vannak két vagy több szomszédos foga között. Ilyenkor nagyobb a kimozdulás vagy a törés kockázata, ételmaradékok szorulhatnak a résekbe, ami a fogak és az íny romlásához vezethet.

Mélyharapás, kezelés előtt Mélyharapás, kezelés után

Forrás: AngelAligner

Mélyharapás

Amikor a felső elülső fogak túlságosan átfedik az alsó elülső fogakat. Ez a deformáció rontja a harapás és rágás hatékonyságát, ami a fogak és az állkapocs sérüléséhez vezethet.

Horizontális túlharapás, kezelés előtt Horizontális túlharapás, kezelés után

Forrás: AngelAligner

Horizontális túlharapás

Amikor a felső fogak túlságosan előre nyúlnak az alsó elülső fogakhoz képest. Ez megnehezíti a harapást és a rágást, ami fogtöréshez és csontvesztéshez vezethet.

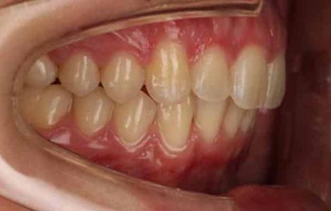
Keresztharapás kezelés előtt Keresztharapás kezelés után

Forrás: AngelAligner

Keresztharapás

Amikor harapáskor a felső fogak az alsó fogak mögé kerülnek. Ez előfordulhat egy-egy fog kapcsán, vagy több fog kapcsán is, a száj bármely részén. Ilyenkor a fogak rágófelszínei nem találkoznak megfelelő módon, így a harapó- és rágóerők nem a megfelelő felszínekre terhelődnek, nem megfelelő szögekben. Gyakori következményei az íny visszahúzódása, a fogak törése és a fogak foltokban való kopása.

Nyitott harapás, kezelés előtt Nyitott harapás, kezelés után

Forrás: AngelAligner

Nyitott harapás

Amikor összezárt fogsor nem záródik teljesen, mert csak a hátsó fogak érnek össze, de az elülsők nem. Ilyenkor rés látszik köztük mosolygás közben. A nyitott harapás megnehezítheti az ételekbe való beleharapást, és szabálytalan nyomás terhelheti miatta az állkapocs-ízületet és az egyes fogakat, ami ínyvisszahúzódáshoz, csontvesztéshez és a fogak kopásához vezethet.

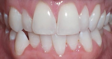
Középvonal eltolódás, kezelés előtt Középvonal eltolódás, kezelés után

Forrás: AngelAligner

Középvonal eltolódás

Amikor a felső elülső fogak középpontja nem illeszkedik az alsó elülső fogak középpontjával. Ez a torzulás elsőre kozmetikai problémának tűnhet, de gyakran jár együtt más okklúziós problémákkal is. Ilyenkor a fogak nem érnek össze megfelelően, ami stresszpontok kialakulásához vezet nem kívánt helyeken, vagy megnehezíti a fogak tisztítását.

Egymásra harapás. kezelés előtt Egymásra harapás. kezelés után

Forrás: AngelAligner

Egymásraharapás

Amikor a felső elülső fogak széle ütközik az alsó elülső fogak széleivel. A deformáció nagy stressznek teszi ki a fogak legsérülékenyebb részeit. A metszőfogak felső széle fokozottan ki van téve az ilyen sérüléseknek, és gyorsan kopni kezdhet és/vagy lepattanhat.

ClearCorrect láthatatlan fogszabályozó készülék

Transparens készülék, ami a behelyezést követően észrevehetetlen.

Személyre szabott, így kényelmes a használata.

Könnyű, nem érezni kellemetlen nehézséget a ahsználata során.

Zavartalan felhasználást biztosít.

Miért jó az AngelAligner® láthatatlan fogszabályozás?

Kik felelnek a fogszabályozó beavatkozásokért?

Mosolya és fogai érdekében válasszon megbízható specialistát!

Rezidensi éveimet a Szent Rókus Kórház Arc- és Állcsonrortopédiai osztályán töltöttem, Dr. Horváth János főorvos úr mellett. Fogszabályozási szakvizsgámat 2007-ben szereztem meg. Számos kurzuson és külföldi konferencián vettem részt.

2007-ben az Országos Fogszabályozó Konferencián előadóként voltam jelen. A mai napig tagja vagyok a  Magyar Orthodontusok Társaságának, valamint az Orthodontusok Önképző Körének. Sikereimet annak köszönhetem, hogy a problémákat komplexen látom és ellátásukat is ennek megfelelően tervezem meg. Mindig precíz, pontos kezelési tervet készítek a szakma szabályait előtérbe helyezve. Ezért érek el hosszútávon stabil és szép eredményeket pácienseimnél.

Szebb mosolyra vágyik?

Jöjjön el az Újbuda Dental rendelőjébe és ismerkedjen meg a modern fogszabályozás kíméletes módszereivel, melyekkel látványos eredményeket tudunk közösen elérni, és persze ismerkedjen meg leendő kezelőorvosával, Dr. Csamangó Edinával,.

© 2026 Nádor Dent Kft.  Minden jog fenntartva.

Újbuda Dental Budapest
Foglaljon időpontot!

Ünnepi nyitvatartás

  • Dec. 22. (hétfő): 8-14:00
  • Dec. 23. (kedd): 8-14:00 
  • Dec. 24. – 28.: Zárva
  • Dec. 29. (hétfő): 8-16:00
  • Dec. 30. (kedd): 8-16:00
  • Dec.  31. – Jan. 2.: Zárva
  • Jan 1.  – 4.: Zárva
  • Nyitás: Jan. 5. 8:00

Boldog karácsonyt kívánunk minden kedves páciensünknek!

Weboldalunk sütiket használ. Továbbolvasással ezt elfogadja.

További részletek az adatvédelmi irányelveinkről és sütiszabályzatunkról.